معرفی قطعه Femoral Stem از پروتز لگن، ران یا Hip

امتیازی ثبت نشده است
دسته بندی : , , تعداد بازدید : 709

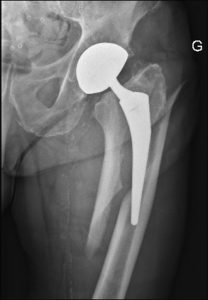
Femoral stem prosthesis is one of the main components of the total hip replacement (THR) which would be inserted through the proximal third femur bone to be articulated with the acetabular prosthesis. The function of the femoral stem is to establish the mechanical column for replacement of the femoral head. It acts as the load-bearing element against of bending and compressive stresses which is created at the articulation surface. The femoral stem prosthesis and femoral ball would form the overall femoral prosthesis to be assembled together and replaced through the femur bone to form the substitution structure for the worn cartilage tissue of the femur bone at the hip joint.

 

بیشـتر

رایگان

توضیحات مختصر محصول
معرفی قطعه Femoral Stem از پروتز لگن، ران یا Hip

شرح کلی قطعه Femoral Stem از پروتز ران

Femoral stem prosthesis is one of the main components of the total hip replacement (THR) which would be inserted through the proximal third femur bone to be articulated with the acetabular prosthesis.

 

ویژگی های قطعه Femoral Stem از پروتز ران

Femoral stem is designed in different sections or portions as neck, metaphyseal, and diaphyseal.

The neck portion is dedicating the femoral neck of the femur bone, while the metaphyseal and diaphyseal portions are designed to be anatomically matched with the anatomy of the proximal third bone at the trochanter and diaphyseal sections of the femur bone at the proximal third.

The design of the femoral stem in frontal plane would be managed with extended width at the proximal portion and narrowed gradually to the distal portion to be replaceable through the intramedullary canal of the diaphysis bone.

The extended width portion would be at the trochanter zone.

The basic principles of the femoral stem designing are similar among the all orthopedic implant manufacturers, however specific features and benefits design conceptions might be implemented to enhance its effectiveness in long-term implantation.

کارکرد قطعه Femoral Stem از پروتز ران:

The function of the femoral stem is to establish the mechanical column for replacement of the femoral head. a

It acts as the load-bearing element against of bending and compressive stresses which is created at the articulation surface. a

The femoral stem would be integrated with the proximal third zone of the femur bone. a

Its mechanical fitness with the diaphyseal portion and metaphyseal zones and biological integrity with the metaphyseal zone would establish the stable functionality in long-term implantation. a

هشدارها در کاربرد بالینی قطعه Femoral Stem از پروتز ران

Replacement of the femoral stem through the femur bone would be a salvage to relief the severe pain at the hip joint which might be occurred as the results of cartilage wear, fracture, rheumatic, or ischemic necrosis at the femur bone. However, in order to achieve the long-term efficacy of the femoral stem replacement, the patient’s overall and specific conditions at the hip joint would be essentially required to be contemplated, which are provided as following; a

 

a Ø Deficiency in function or severe diseases of the muscle or ligaments at the hip joint

a Ø No presence of sufficient bone stock at the proximal third of the femur bone

a Ø Acute/chronic local or systemic infection

a Ø Hypersensitivity to the metallic elements; titanium, aluminum, vanadium

a Ø Presence of the femur bone tumor or cyst at the hip joint

a Ø Pregnancy

a Ø High body mass index (BMI) in the range of overweight or obese

a Ø Osteoporosis

a Ø Deformity of the femur bone

ویژگی های فنی قطعه Femoral Stem از پروتز ران:

The main technical characteristics of the femoral stem prosthesis is expressed in the Table. The characteristics such as material, manufacturing process, structure, and surface treatment would be elaborated in this Table

Description Details Character

Femoral stem is manufactured from titanium alloy as the high-strength metallic material to withstand the body weight loading condition in various angular motion at the hip joint. The specific design of the femoral stem at the neck portion at the cross section between the proximal and median portions, would cause concentration of the stress through the femoral stem. Thus, it is required to use a material with great level of fatigue strength. Titanium has the highest fatigue strength over than 450 MPa compared to stainless streel and cobalt-chromium alloy and would be an effective alternative

Titanium alloy

Material

The solid form of the titanium femoral stem would provide a reliable and secure structure against of physiological loading conditions at the hip joint which are transferred to the femoral stem in high level of compressive and bending stresses

Solid Structure

Titanium would be a forgeable material. This manufacturability character would be an advantage to fabricate the femoral stem from the titanium alloy. Likewise, the titanium alloy could be machined more easily than stainless steel and cobalt-chromium alloy, thus, the femoral stem could be machined from the forged titanium sheet

Forging, Machining

Manufacturing process

Titanium has the better surface characteristics compared to the stainless steel and cobalt-chromium alloy for coating of bioactive materials such as calcium phosphate compositions on its surface. In fact, surface energy of the titanium would be in high level compared to other conventional biomaterials. Likewise, coating of the titanium powders on the surface of the titanium prosthesis could facilitate good adhesion strength of the coating layer. Titanium porous coating would enhance the adherence, proliferation, differentiation, and maturation of the new bone cells and conduction of the bone matrix formation through the pores of the porous coated later. In order to establish the biological integrity at the metaphyseal portion of the femoral stem with the trabecular bone at this zone, the coated layer would be formed at the circumferential of the metaphyseal portion of the femoral stem

Titanium Porous Coating, HA Plasma Spraying, Calcium phosphate chemical deposition

Surface treatments

نمایش بیشتر
دیدگاه های کاربران
دیدگاهتان را با ما درمیان بگذارید
0 0.0
بر اساس 0 خرید
0
0
0
0
0

There are no reviews yet.

   

Be the first to review “معرفی قطعه Femoral Stem از پروتز لگن، ران یا Hip”

Your email address will not be published. Required fields are marked *

توسط
تومان